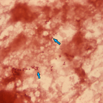
Description
Neisseria meningitidis
Date Taken: 03/03/2016
Magnification: 100X
Source: Blood Culture
Note:
Patient case: 18 year old male college student, Specimen source Blood Anaerobic Bottle Time to Positivity 18.7 hours
-
- Mag 100X Gram Stain of Positive Blood Culture Bottle Blue arrows pointing to Gram Negative Diplococci
-
- MAG 100X Gram Stain of Positive Blood Culture Bottle Blue arrows pointing to the Gram Negative Cocci
-
- MAG 100X Gram Stain of Positive Blood Culture Bottle Blue arrow pointing to a group Gram Negative Cocci

